Medical Applications
|
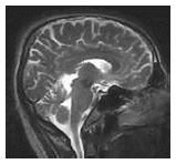
• NMR – Nuclear Magnetic Resonance – Scanning • Brain wave activity – brain tumour , defective cells • Separate damaged cells and healthy cells • Superconducting solenoids – magneto hydrodynamic power generation – plasma maintenance |
![]() |
